中文名稱: 兔抗ARID1B多克隆抗體
|
Background: |
This locus encodes an AT-rich DNA interacting domain-containing protein. The encoded protein is a component of the SWI/SNF chromatin remodeling complex and may play a role in cell-cycle activation. The protein encoded by this locus is similar to AT-rich interactive domain-containing protein 1A. These two proteins function as alternative, mutually exclusive ARID-subunits of the SWI/SNF complex. The associated complexes play opposing roles. Alternatively spliced transcript variants encoding different isoforms have been described. |
|
Applications: |
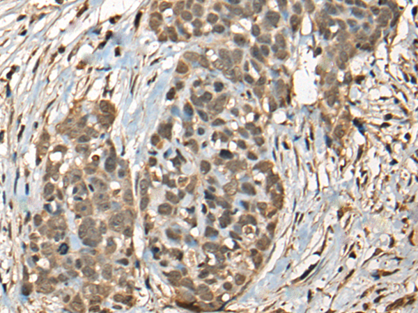
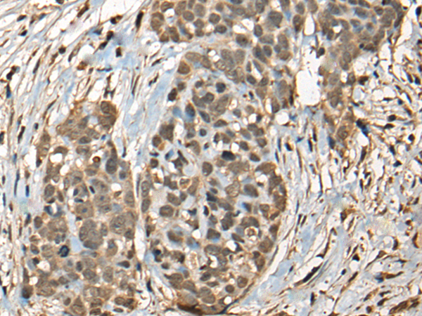
ELISA, IHC |
|
Name of antibody: |
ARID1B |
|
Immunogen: |
Synthetic peptide of human ARID1B |
|
Full name: |
AT-rich interaction domain 1B |
|
Synonyms: |
OSA2; 6A3-5; DAN15; MRD12; P250R; BRIGHT; BAF250B; ELD/OSA1 |
|
SwissProt: |
Q8NFD5 |
|
ELISA Recommended dilution: |
5000-10000 |
|
IHC positive control: |
Human colorectal cancer |
|
IHC Recommend dilution: |
25-100 |
購物車
幫助
021-54845833/15800441009
