中文名稱:兔抗BEX1多克隆抗體
|
Background: |
Signaling adapter molecule involved in p75NTR/NGFR signaling. Plays a role in cell cycle progression and neuronal differentiation. Inhibits neuronal differentiation in response to nerve growth factor (NGF). May act as a link between the cell cycle and neurotrophic factor signaling, possibly by functioning as an upstream modulator of receptor signaling, coordinating biological responses to external signals with internal cellular states (By similarity). |
|
Applications: |
ELISA, IHC |
|
Name of antibody: |
BEX1 |
|
Immunogen: |
Full length fusion protein |
|
Full name: |
brain expressed X-linked 1 |
|
Synonyms: |
BEX2; HBEX2; HGR74-h |
|
SwissProt: |
Q9HBH7 |
|
ELISA Recommended dilution: |
5000-10000 |
|
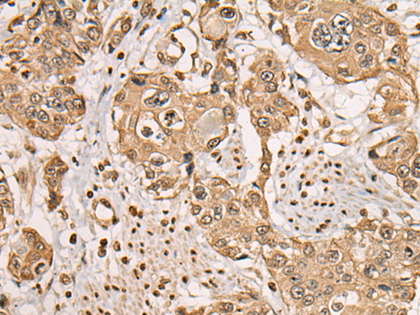
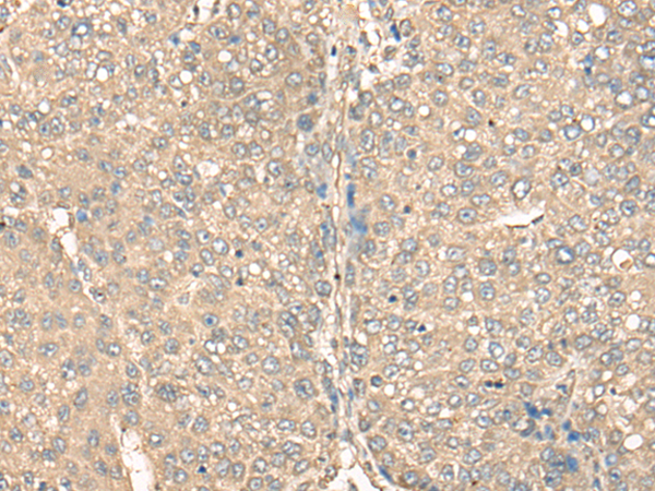
IHC positive control: |
Human liver cancer and human brain |
|
IHC Recommend dilution: |
25-100 |


購物車
幫助
021-54845833/15800441009
