中文名稱:兔抗BLK(Phospho-Tyr501)多克隆抗體
|
Background: |
This gene encodes a nonreceptor tyrosine-kinase of the src family of proto-oncogenes that are typically involved in cell proliferation and differentiation. The protein has a role in B-cell receptor signaling and B-cell development. The protein also stimulates insulin synthesis and secretion in response to glucose and enhances the expression of several pancreatic beta-cell transcription factors. |
|
Applications: |
IHC |
|
Name of antibody: |
BLK(Phospho-Tyr501) |
|
Immunogen: |
Peptide sequence around phosphorylation site of tyrosine 501 (R-Q-Y(p)-E-L) derived from Human BLK. |
|
Full name: |
BLK proto-oncogene, Src family tyrosine kinase |
|
Synonyms: |
MODY11 |
|
SwissProt: |
P51451 |
|
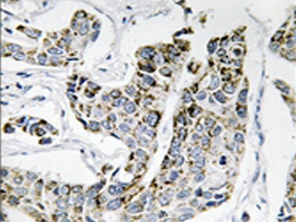
IHC positive control: |
Human breast carcinoma tissue |
|
IHC Recommend dilution: |
50-100 |

購物車
幫助
021-54845833/15800441009
