基本信息
產品品牌 :通蔚生物
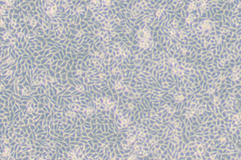
中文名稱 :小鼠胸腺激酶缺陷細胞
細胞簡稱 : LM /T K [L M TK-]
細胞別稱 : L-M [TK -];LM TK n egative;L -M (TK -);LM (TK -);LM (TK -);LM (tk -);LM -TK-;LM TK-;Lcells(TK -);L(TK -);L (tk-)
細胞形態 : 成纖維細胞樣
生長特性 : 貼壁細胞
培養環境 : 空氣,95% ;CO2,5% 37℃
凍存條件 : 55% 基礎培養基+40% FBS+5% D M SO液氮
完全培養基 : DM EM (PM 150210)+10% F B S(164210-50)+1% P /S(P B 180120)
傳代步驟
1、吸出原培養液。
2、加入2ml左右PBS,輕輕晃動培養瓶潤洗細胞,吸出PBS丟棄。
3、加入1ml左右0.25% 胰蛋白酶溶液(含ED TA ),輕輕晃動培養瓶使之浸潤所有細胞。
4、放入培養箱消化,顯微鏡下看到細胞塊中間的細胞明顯變圓有間隙時可終止,全程不要拍打培養瓶。
5、加入3ml含血清的培養基終止消化,吹打細胞使之脫壁并在液體里反復吹打使細胞盡量呈單顆細胞的懸浮液。
6、收集細胞懸液離心,1200rpm /min 3分鐘,離心完吸出上清丟棄。
7、加入新鮮培養基,吹打幾下混勻細胞即可,按比例接種到新培養瓶,補足培養基,擰松瓶蓋或使用透氣瓶蓋進行培養。
消化時間 : 2~ 3分鐘
傳代比例(密度) : 1:3-1:4
換液頻次 : 2~ 3次/周
細胞背景描述
供體年齡 : 100天
組織來源 : 皮下結締組織;乳暈和脂肪
細胞類型 : 自發永生化細胞
生物安全等級 : 1
致瘤性 : Yes,in nudemice(Tum orsdeveloped within 21 daysat100% frequ en cy(5/5)in nudemiceinoculated subcutaneouslywith 1×10^7 cells).抗原表達 H -2k
細胞保藏中心 : ATCC ; CCL-1.3ATCC ; C RL-2648 BC RC ; 60072 BC RJ ; 0148EC AC C ; 90083001
收到常溫細胞后如何處理
細胞培養詳細操作步驟請參照通蔚生物細胞培養操作指南
1. 收到常溫細胞后,及時拍照記錄有無漏液/瓶身破損現象。
2. 用75%酒精擦拭細胞培養瓶表面,顯微鏡下觀察細胞狀態。先不要打開培養瓶蓋,將細胞置于細胞培養箱內靜置培養2-4小時,以便穩定細胞狀態。
3. 仔細閱讀細胞說明書,了解細胞相關信息,如貼壁特性(貼壁/懸?。?、細胞形態、所用基礎培養基、血清比例、所需細胞因子、傳代比例、換液頻率等。
4. 靜置完成后,取出細胞培養瓶,鏡檢、拍照,記錄細胞狀態(所拍照片 將作為后續服務依據);建議細胞傳代培養后,定期拍照、記錄細胞生長狀態。
5. 若觀察到異?;蛘邔毎幸蓡枺埣皶r跟我們聯系;對于細胞培養操作及培養??筛覀兊募夹g支持交流。
購物車
幫助
021-54845833/15800441009
