中文名稱:兔抗BMP1多克隆抗體
|
Background: |
This gene encodes a protein that is capable of inducing formation of cartilage in vivo. Although other bone morphogenetic proteins are members of the TGF-beta superfamily, this gene encodes a protein that is not closely related to other known growth factors. This gene is expressed as alternatively spliced variants that share an N-terminal protease domain but differ in their C-terminal region. |
|
Applications: |
ELISA, IHC |
|
Name of antibody: |
BMP1 |
|
Immunogen: |
Synthetic peptide of human BMP1 |
|
Full name: |
bone morphogenetic protein 1 |
|
Synonyms: |
PCP; TLD; OI13; PCP2; PCOLC |
|
SwissProt: |
P13497 |
|
ELISA Recommended dilution: |
5000-10000 |
|
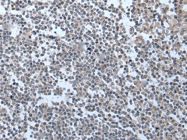
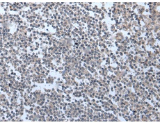
IHC positive control: |
Human tonsil |
|
IHC Recommend dilution: |
25-100 |

購(gòu)物車
幫助
021-54845833/15800441009
