Reh人急性非B非T淋巴細胞白血病
基本信息
產品品牌 :通蔚生物
中文名稱 :人急性非B非T淋巴細胞白血病
細胞簡稱 :Reh
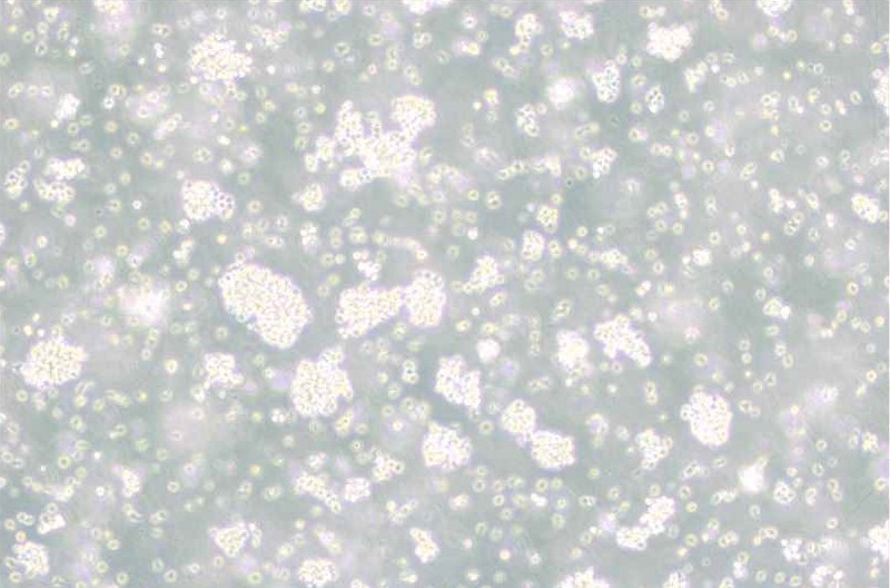
細胞形態 :淋巴母細胞樣
生長特性 :懸浮細胞
培養環境 :空氣,95% ;CO2,5%37℃
凍存條件 :55% 基礎培養基+40% FBS+5% D M SO液氮
完全培養基 :RPM I-1640(P M 150110)+10% F B S(164210-50)+1% P /S(P B 180120)
傳代步驟
可通過補充新鮮培養基或者離心換液兩種方式維持培養,離心轉速參考1200 rpm (250g左右),離心3分鐘。
換液頻次 :2~ 3次/周
傳代比例(密度) :3×10^ 5-5×10^ 5cells/m L
細胞背景描述
倍增時間 :~ 50-70 hours
供體年齡 :15歲
組織來源 :外周血
細胞類型 :腫瘤細胞
腫瘤類型 :白血病細胞
生物安全等級 :1
細胞保藏中心 :ATCC;C RL-8286 D SM Z;ACC-22
細胞背景描述 :CD 3A(17% )、CD 3B(17% )、CD 3C(20% ),CD 4(15% ),CD 10(55% )
收到常溫細胞后如何處理
細胞培養詳細操作步驟請參照通蔚生物細胞培養操作指南
1. 收到常溫細胞后,及時拍照記錄有無漏液/瓶身破損現象。
2. 用75%酒精擦拭細胞培養瓶表面,顯微鏡下觀察細胞狀態。先不要打開培養瓶蓋,將細胞置于細胞培養箱內靜置培養2-4小時,以便穩定細胞狀態。
3. 仔細閱讀細胞說明書,了解細胞相關信息,如貼壁特性(貼壁/懸?。?、細胞形態、所用基礎培養基、血清比例、所需細胞因子、傳代比例、換液頻率等。
4. 靜置完成后,取出細胞培養瓶,鏡檢、拍照,記錄細胞狀態(所拍照片 將作為后續服務依據);建議細胞傳代培養后,定期拍照、記錄細胞生長狀態。
5. 若觀察到異?;蛘邔毎幸蓡?,請及時跟我們聯系;對于細胞培養操作及培養??筛覀兊募夹g支持交流。
售前須知
該細胞為懸浮細胞,請注意離心收集細胞懸液;請勿直接倒掉細胞培養液。
購物車
幫助
021-54845833/15800441009
