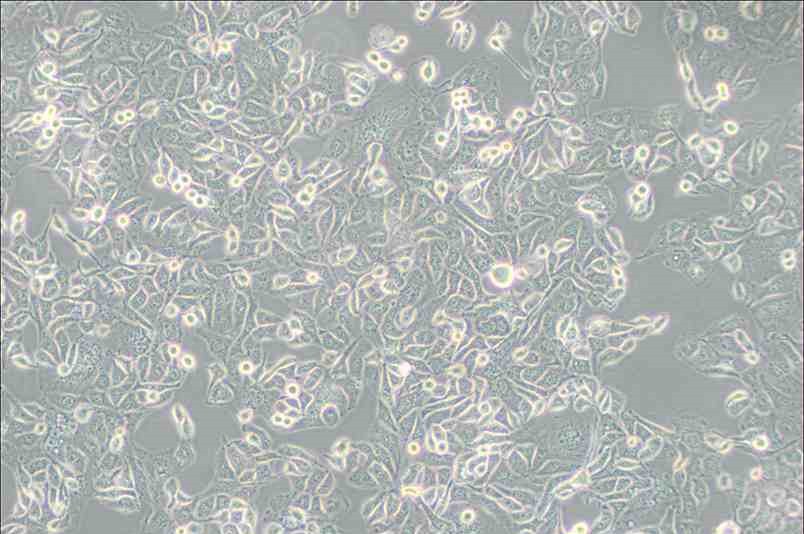
Anglne人卵巢癌細胞
基本信息
產品品牌 :通蔚生物
中文名稱 :人卵巢癌細胞
細胞簡稱 :Anglne
細胞形態 :上皮細胞樣
生長特性 :貼壁細胞
培養環境 :空氣,95% ;CO2,5% 37℃
凍存條件 :55% 基礎培養基+40% FBS+5% D M SO液氮
完全培養基 :DM EM (PM 150210)+10% F B S(164210-50)+1% P /S(P B 180120)
傳代步驟
1、吸出原培養液。
2、加入2ml左右PBS,輕輕晃動培養瓶潤洗細胞,吸出PBS丟棄。
3、加入1ml左右0.25% 胰蛋白酶溶液(含ED TA ),輕輕晃動培養瓶使之浸潤所有細胞。
4、放入培養箱消化,顯微鏡下看到細胞塊中間的細胞明顯變圓有間隙時可終止,全程不要拍打培養瓶。
5、加入3ml含血清的培養基終止消化,吹打細胞使之脫壁并在液體里反復吹打使細胞盡量呈單顆細胞的懸浮液。
6、收集細胞懸液離心,1200rpm /min 3分鐘,離心完吸出上清丟棄。
7、加入新鮮培養基,吹打幾下混勻細胞即可,按比例接種到新培養瓶,補足培養基,擰松瓶蓋或使用透氣瓶蓋進行培養。
消化時間 :2~ 3分鐘
換液頻次 :2~ 3次/周
傳代比例(密度) :1:2-1:4
細胞背景描述
Anglne細胞是由德國學者建系;A nglne細胞主要用于卵巢癌的病理學研究,抗腫瘤藥物篩選。研究證明,A nglne細胞為貼壁生長,較C OC 1細胞系培養方便。
供體年齡 :女
組織來源 :卵巢癌
細胞類型 :腫瘤細胞
腫瘤類型 :卵巢癌細胞
生物安全等級 :1
收到常溫細胞后如何處理
細胞培養詳細操作步驟請參照通蔚生物細胞培養操作指南
1. 收到常溫細胞后,及時拍照記錄有無漏液/瓶身破損現象。
2. 用75%酒精擦拭細胞培養瓶表面,顯微鏡下觀察細胞狀態。先不要打開培養瓶蓋,將細胞置于細胞培養箱內靜置培養2-4小時,以便穩定細胞狀態。
3. 仔細閱讀細胞說明書,了解細胞相關信息,如貼壁特性(貼壁/懸浮)、細胞形態、所用基礎培養基、血清比例、所需細胞因子、傳代比例、換液頻率等。
4. 靜置完成后,取出細胞培養瓶,鏡檢、拍照,記錄細胞狀態(所拍照片 將作為后續服務依據);建議細胞傳代培養后,定期拍照、記錄細胞生長狀態。
5. 若觀察到異常或者對細胞有疑問,請及時跟我們聯系;對于細胞培養操作及培養。可跟我們的技術支持交流。
購物車
幫助
021-54845833/15800441009
