中文名稱: 兔抗BRD8多克隆抗體
|
Background: |
The protein encoded by this gene interacts with thyroid hormone receptor in a ligand-dependent manner and enhances thyroid hormone-dependent activation from thyroid response elements. This protein contains a bromodomain and is thought to be a nuclear receptor coactivator. Multiple alternatively spliced transcript variants that encode distinct isoforms have been identified. |
|
Applications: |
ELISA, IHC |
|
Name of antibody: |
BRD8 |
|
Immunogen: |
Synthetic peptide of human BRD8 |
|
Full name: |
bromodomain containing 8 |
|
Synonyms: |
SMAP; p120; SMAP2 |
|
SwissProt: |
Q9H0E9 |
|
ELISA Recommended dilution: |
5000-10000 |
|
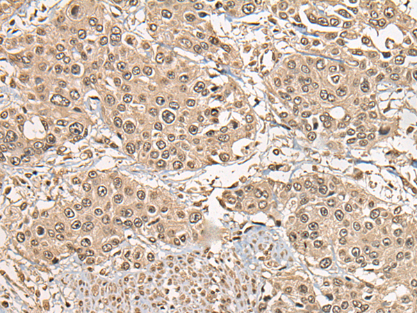
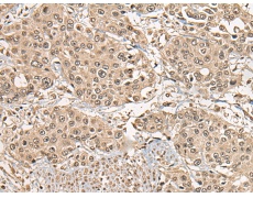
IHC positive control: |
Human esophagus cancer and human ovarian cancer |
|
IHC Recommend dilution: |
25-100 |

購物車
幫助
021-54845833/15800441009
