中文名稱: 兔抗BUD31多克隆抗體
|
Background: |
BUD31 (Protein G10 homolog, EDG-2) is a 144 amino acid protein encoded by the human gene BUD31. BUD31 is a nuclear protein that belongs to the BUD31 (G10) family. BUD31 is found on chromosome 7 which is about 158 milllion bases long, encodes over 1,000 genes and makes up about 5% of the human genome. Chromosome 7 has been linked to osteogenesis imperfecta, Pendred syndrome, lissencephaly, citrullinemia and Shwachman-Diamond syndrome. The deletion of a portion of the long (q) arm of human chromosome 7 is associated with Williams-Beuren syndrome, a condition characterized by mild mental retardation, an unusual comfort and friendliness with strangers and an elfin appearance. Deletions of portions of the q arm of chromosome 7 are also seen in a number of myeloid disorders including cases of acute myelogenous leukemia and myelodysplasia. |
|
Applications: |
ELISA, WB, IHC |
|
Name of antibody: |
BUD31 |
|
Immunogen: |
Full length fusion protein |
|
Full name: |
BUD31 homolog |
|
Synonyms: |
G10; EDG2; Cwc14; EDG-2; fSAP17; YCR063W |
|
SwissProt: |
P41223 |
|
ELISA Recommended dilution: |
5000-10000 |
|
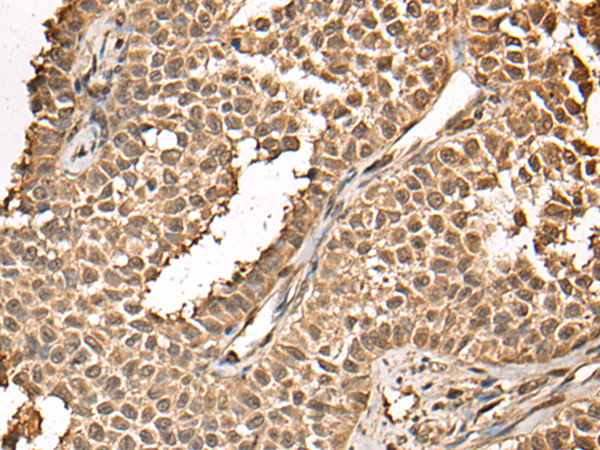
IHC positive control: |
Human ovarian cancer and human thyroid cancer |
|
IHC Recommend dilution: |
30-150 |
|
WB Predicted band size: |
17 kDa |
|
WB Positive control: |
Raji, 231 and PC-3 cell, Mouse heart tissue, Mouse brain tissue, Human testis tissue lysates |
|
WB Recommended dilution: |
500-2000 |


購物車
幫助
021-54845833/15800441009
