中文名稱:兔抗CAMK2G多克隆抗體
英文名稱: Anti-CAMK2G rabbit polyclonal antibody
別 名: calcium/calmodulin dependent protein kinase II gamma; CAMK; CAMKG; CAMK-II
抗 原: CAMK2G
相關類別: 一抗
儲 存: 冷凍(-20℃)
宿 主: Rabbit
標 記 物: Unconjugate
克隆類型: rabbit polyclonal
技術規格
|
Background: |
The product of this gene is one of the four subunits of an enzyme which belongs to the serine/threonine protein kinase family, and to the Ca(2+)/calmodulin-dependent protein kinase subfamily. Calcium signaling is crucial for several aspects of plasticity at glutamatergic synapses. In mammalian cells the enzyme is composed of four different chains: alpha, beta, gamma, and delta. The product of this gene is a gamma chain. Many alternatively spliced transcripts encoding different isoforms have been described but the full-length nature of all the variants has not been determined. |
|
Applications: |
ELISA, WB, IHC |
|
Name of antibody: |
CAMK2G |
|
Immunogen: |
Synthetic peptide of human CAMK2G |
|
Full name: |
calcium/calmodulin dependent protein kinase II gamma |
|
Synonyms: |
CAMK; CAMKG; CAMK-II |
|
SwissProt: |
Q13555 |
|
ELISA Recommended dilution: |
5000-10000 |
|
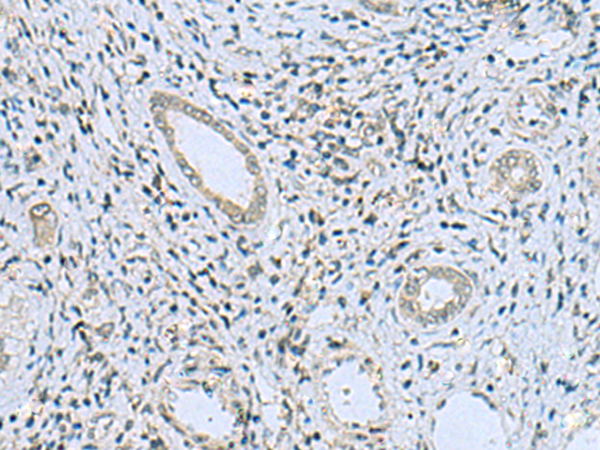
IHC positive control: |
Human liver cancer |
|
IHC Recommend dilution: |
25-50 |
|
WB Predicted band size: |
63 kDa |
|
WB Positive control: |
Mouse heart tissue, Human heart tissue, Rat heart tissue lysates |
|
WB Recommended dilution: |
500-2000 |


購物車
幫助
021-54845833/15800441009
