中文名稱:兔抗CAMP多克隆抗體
英文名稱: Anti-CAMP rabbit polyclonal antibody
別 名: cathelicidin antimicrobial peptide; LL37; CAP18; CRAMP; HSD26; CAP-18; FALL39; FALL-39
相關類別: 一抗
儲 存: 冷凍(-20℃)
宿 主: Rabbit
抗 原: CAMP
標 記 物: Unconjugate
克隆類型: rabbit polyclonal
技術規格
|
Background: |
This gene encodes a member of an antimicrobial peptide family, characterized by a highly conserved N-terminal signal peptide containing a cathelin domain and a structurally variable cationic antimicrobial peptide, which is produced by extracellular proteolysis from the C-terminus. In addition to its antibacterial, antifungal, and antiviral activities, the encoded protein functions in cell chemotaxis, immune mediator induction, and inflammatory response regulation. |
|
Applications: |
ELISA, IHC |
|
Name of antibody: |
CAMP |
|
Immunogen: |
Fusion protein of human CAMP |
|
Full name: |
cathelicidin antimicrobial peptide |
|
Synonyms: |
LL37; CAP18; CRAMP; HSD26; CAP-18; FALL39; FALL-39 |
|
SwissProt: |
P49913 |
|
ELISA Recommended dilution: |
5000-10000 |
|
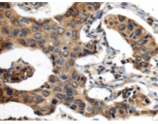
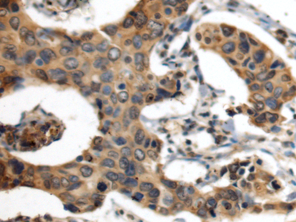
IHC positive control: |
Human breast cancer |
|
IHC Recommend dilution: |
100-300 |
購物車
幫助
021-54845833/15800441009
