中文名稱:兔抗CANX多克隆抗體
英文名稱: Anti-CANX rabbit polyclonal antibody
別 名: CNX; P90; IP90
相關類別: 一抗
宿 主: Rabbit
技術規格
|
WB Recommended dilution: |
1000-5000 |
|
WB Positive control: |
LNCAP cell, Mouse heart tissue, HUVEC cell lysates |
|
WB Predicted band size: |
67 kDa |
|
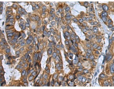
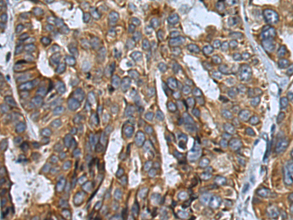
IHC Recommend dilution: |
50-200 |
|
IHC positive control: |
Human cervical cancer |
|
ELISA Recommended dilution: |
5000-10000 |
|
SwissProt: |
P27824 |
|
Synonyms: |
CNX; P90; IP90 |
|
Full name: |
calnexin |
|
Immunogen: |
Synthetic peptide of human CANX |
|
Name of antibody: |
CANX |
|
Applications: |
ELISA, WB, IHC |
|
Background: |
This gene encodes a member of the calnexin family of molecular chaperones. The encoded protein is a calcium-binding, endoplasmic reticulum (ER)-associated protein that interacts transiently with newly synthesized N-linked glycoproteins, facilitating protein folding and assembly. It may also play a central role in the quality control of protein folding by retaining incorrectly folded protein subunits within the ER for degradation. Alternatively spliced transcript variants encoding different isoforms have been described. |
購物車
幫助
021-54845833/15800441009
