中文名稱:兔抗CAPNS1多克隆抗體
英文名稱: Anti-CAPNS1 rabbit polyclonal antibody
別 名: 30K, CANP, CDPS, CSS1, CANPS, CAPN4, CALPAIN4
抗 原: CAPNS1
儲 存: 冷凍(-20℃)
宿 主: Rabbit
相關類別: 一抗
反應種屬: Human, Mouse, Rat
標 記 物: Unconjugate
克隆類型: rabbit polyclonal
技術規格
|
Background: |
Calpains are a ubiquitous, well-conserved family of calcium-dependent, cysteine proteases. Calpain families have been implicated in neurodegenerative processes, as their activation can be triggered by calcium influx and oxidative stress. Calpain I and II are heterodimeric with distinct large subunits associated with common small subunits, all of which are encoded by different genes. This gene encodes a small subunit common to both calpain I and II and is associated with myotonic dystrophy. Two transcript variants encoding the same protein have been identified for this gene. |
|
Applications: |
ELISA, WB, IHC |
|
Name of antibody: |
CAPNS1 |
|
Immunogen: |
Fusion protein of human CAPNS1 |
|
Full name: |
calpain, small subunit 1 |
|
Synonyms: |
30K, CANP, CDPS, CSS1, CANPS, CAPN4, CALPAIN4 |
|
SwissProt: |
P04632 |
|
ELISA Recommended dilution: |
1000-2000 |
|
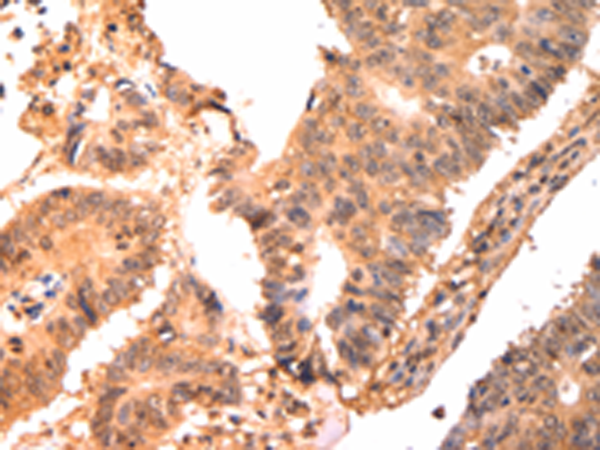
IHC positive control: |
Human colon cancer |
|
IHC Recommend dilution: |
25-100 |
|
WB Predicted band size: |
28 kDa |
|
WB Positive control: |
Mouse spleen tissue, K562 and NIH/3T3 cells |
|
WB Recommended dilution: |
200-1000 |


購物車
幫助
021-54845833/15800441009
