中文名稱:兔抗CARD9多克隆抗體
英文名稱: Anti-CARD9 rabbit polyclonal antibody
別 名: CANDF2; hCARD9
相關類別: 一抗
儲 存: 冷凍(-20℃)
抗 原: CARD9
宿 主: Rabbit
反應種屬: Human
標 記 物: Unconjugate
克隆類型: rabbit polyclonal
技術規格
|
Background: |
The protein encoded by this gene is a member of the CARD protein family, which is defined by the presence of a characteristic caspase-associated recruitment domain (CARD). CARD is a protein interaction domain known to participate in activation or suppression of CARD containing members of the caspase family, and thus plays an important regulatory role in cell apoptosis. This protein was identified by its selective association with the CARD domain of BCL10, a postive regulator of apoptosis and NF-kappaB activation, and is thought to function as a molecular scaffold for the assembly of a BCL10 signaling complex that activates NF-kappaB. Several alternatively spliced transcript variants have been observed, but their full-length nature is not clearly defined. |
|
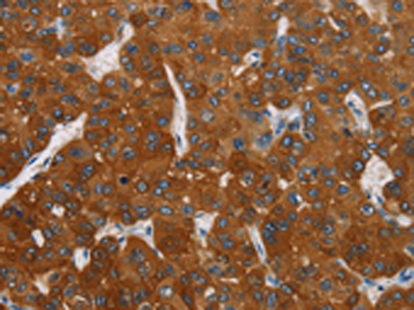
Applications: |
ELISA, IHC |
|
Name of antibody: |
CARD9 |
|
Immunogen: |
Fusion protein of human CARD9 |
|
Full name: |
caspase recruitment domain family, member 9 |
|
Synonyms: |
CANDF2; hCARD9 |
|
SwissProt: |
Q9H257 |
|
ELISA Recommended dilution: |
2000-10000 |
|
IHC positive control: |
Human liver cancer and human thyroid cancer |
|
IHC Recommend dilution: |
100-300 |

購物車
幫助
021-54845833/15800441009
