中文名稱:兔抗CASP3(active)多克隆抗體
相關類別: 一抗
儲 存: 冷凍(-20℃)
宿 主: Rabbit
標 記 物: Unconjugate
克隆類型: rabbit polyclonal
技術規格
|
Background: |
The protein encoded by this gene is a cysteine-aspartic acid protease that plays a central role in the execution-phase of cell apoptosis. The encoded protein cleaves and inactivates poly(ADP-ribose) polymerase while it cleaves and activates sterol regulatory element binding proteins as well as caspases 6, 7, and 9. This protein itself is processed by caspases 8, 9, and 10. It is the predominant caspase involved in the cleavage of amyloid-beta 4A precursor protein, which is associated with neuronal death in Alzheimer's disease. |
|
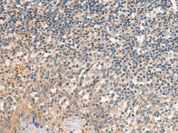
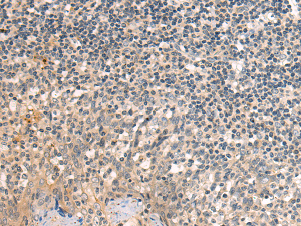
Applications: |
ELISA, IHC |
|
Name of antibody: |
CASP3(active) |
|
Immunogen: |
Synthetic peptide of human CASP3 |
|
Full name: |
caspase 3 |
|
Synonyms: |
CPP32; SCA-1; CPP32B |
|
SwissProt: |
P42574 |
|
ELISA Recommended dilution: |
5000-10000 |
|
IHC positive control: |
Human thyroid cancer |
|
IHC Recommend dilution: |
50-100 |
購物車
幫助
021-54845833/15800441009
