中文名稱:兔抗CASP9(Phospho-Thr125)多克隆抗體
英文名稱: Anti-CASP9(Phospho-Thr125) rabbit polyclonal antibody
別 名: MCH6; APAF3; APAF-3; PPP1R56; ICE-LAP6
相關類別: 一抗
儲 存: 冷凍(-20℃) 避光
宿 主: Rabbit
抗 原: CASP9(Phospho-Thr125)
反應種屬: Human
標 記 物: Unconjugate
克隆類型: rabbit polyclonal
技術規格
|
Background: |
This gene encodes a member of the cysteine-aspartic acid protease (caspase) family. Sequential activation of caspases plays a central role in the execution-phase of cell apoptosis. Caspases exist as inactive proenzymes which undergo proteolytic processing at conserved aspartic residues to produce two subunits, large and small, that dimerize to form the active enzyme. This protein can undergo autoproteolytic processing and activation by the apoptosome, a protein complex of cytochrome c and the apoptotic peptidase activating factor 1; this step is thought to be one of the earliest in the caspase activation cascade. |
|
Applications: |
WB, IHC |
|
Name of antibody: |
CASP9(Phospho-Thr125) |
|
Immunogen: |
Peptide sequence around phosphorylation site of threonine 125 (P-E-T(p)-P-R) derived from Human Caspase 9. |
|
Full name: |
caspase 9, apoptosis-related cysteine peptidase |
|
Synonyms: |
MCH6; APAF3; APAF-3; PPP1R56; ICE-LAP6 |
|
SwissProt: |
P55211 |
|
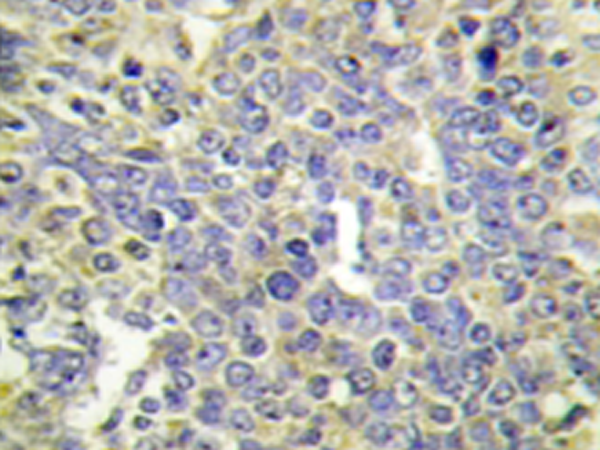
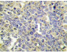
IHC positive control: |
Human lung carcinoma tissue |
|
IHC Recommend dilution: |
50-100 |
|
WB Predicted band size: |
46 kDa |
|
WB Positive control: |
Hela cells lysates treated with TNF |
|
WB Recommended dilution: |
500-1000 |


購物車
幫助
021-54845833/15800441009
