中文名稱:兔抗CATSPERE多克隆抗體
英文名稱: Anti-CATSPERE rabbit polyclonal antibody
儲 存: 冷凍(-20℃)
抗 原: CATSPERE
宿 主: Rabbit
相關類別: 一抗
反應種屬: Human
克隆類型: rabbit polyclonal
技術規格
|
Background: |
Auxiliary component of the CatSper complex, a complex involved in sperm cell hyperactivation. Sperm cell hyperactivation is needed for sperm motility which is essential late in the preparation of sperm for fertilization. |
|
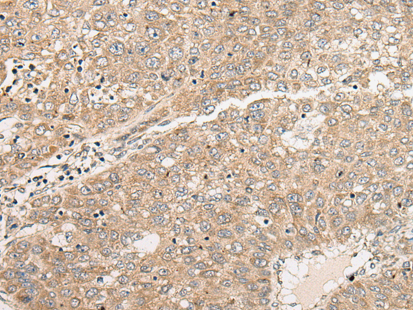
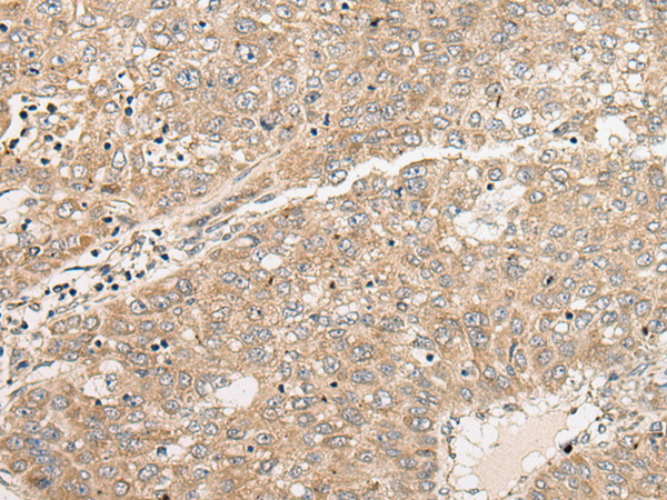
Applications: |
ELISA, IHC |
|
Name of antibody: |
CATSPERE |
|
Immunogen: |
Fusion protein of human CATSPERE |
|
Full name: |
catsper channel auxiliary subunit epsilon |
|
Synonyms: |
C1orf101; C10orf101 |
|
SwissProt: |
Q5SY80 |
|
IHC positive control: |
Human liver cancer |
|
IHC Recommend dilution: |
30-150 |
購物車
幫助
021-54845833/15800441009
