中文名稱:兔抗WRN多克隆抗體
英文名稱: Anti-WRN rabbit polyclonal antibody
別 名: RECQ3; RECQL2; RECQL3
相關類別: 一抗
儲 存: 冷凍(-20℃)
宿 主: Rabbit
抗 原: WRN
反應種屬: Human
標 記 物: Unconjugate
克隆類型: rabbit polyclonal
Background:
This gene encodes a member of the RecQ subfamily and the DEAH (Asp-Glu-Ala-His) subfamily of DNA and RNA helicases. DNA helicases are involved in many aspects of DNA metabolism, including transcription, replication, recombination, and repair. This protein contains a nuclear localization signal in the C-terminus and shows a predominant nucleolar localization. It possesses an intrinsic 3' to 5' DNA helicase activity, and is also a 3' to 5' exonuclease. Based on interactions between this protein and Ku70/80 heterodimer in DNA end processing, this protein may be involved in the repair of double strand DNA breaks. Defects in this gene are the cause of Werner syndrome, an autosomal recessive disorder characterized by premature aging.
Applications:
ELISA, IHC
Name of antibody:
WRN
Immunogen:
Synthetic peptide of human WRN
Full name:
Werner syndrome RecQ like helicase
Synonyms:
RECQ3; RECQL2; RECQL3
SwissProt:
Q14191
ELISA Recommended dilution:
5000-10000
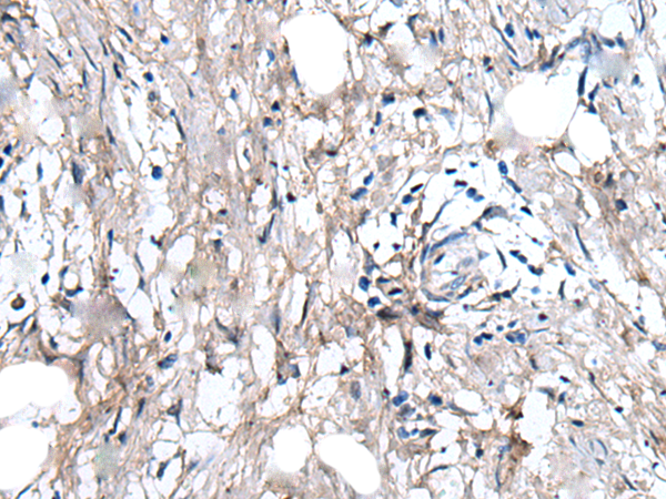
IHC positive control:
Human liver cancer and human lung cancer
IHC Recommend dilution:
25-100
技術規格


購物車
幫助
021-54845833/15800441009
