中文名稱 : 兔抗WWP1多克隆抗體
英文名稱 : Anti-WWP1 rabbit polyclonal antibody
別 名 : AIP5; Tiul1; hSDRP1
抗 原 : WWP1
儲 存 : 冷凍(-20℃)
宿 主 : Rabbit
反應種屬 : Human, Mouse
相關類別 : 一抗
標 記 物 : Unconjugate
技術規格
|
Background: |
WW domain-containing proteins are found in all eukaryotes and play an important role in the regulation of a wide variety of cellular functions such as protein degradation, transcription, and RNA splicing. This gene encodes a protein which contains 4 tandem WW domains and a HECT (homologous to the E6-associated protein carboxyl terminus) domain. The encoded protein belongs to a family of NEDD4-like proteins, which are E3 ubiquitin-ligase molecules and regulate key trafficking decisions, including targeting of proteins to proteosomes or lysosomes. |
|
Applications: |
ELISA, WB, IHC |
|
Name of antibody: |
WWP1 |
|
Immunogen: |
Fusion protein of human WWP1 |
|
Full name: |
WW domain containing E3 ubiquitin protein ligase 1 |
|
Synonyms: |
AIP5; Tiul1; hSDRP1 |
|
SwissProt: |
Q9H0M0 |
|
ELISA Recommended dilution: |
2000-5000 |
|
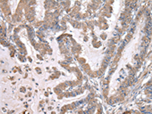
IHC positive control: |
Human esophagus cancer |
|
IHC Recommend dilution: |
30-150 |
|
WB Predicted band size: |
105 kDa |
|
WB Positive control: |
231 and hela cell |
|
WB Recommended dilution: |
500-2000 |

購物車
幫助
021-54845833/15800441009
