中文名稱:兔抗YWHAZ (Phospho-Ser58)多克隆抗體
技術規格
Background:
This gene product belongs to the 14-3-3 family of proteins which mediate signal transduction by binding to phosphoserine-containing proteins. This highly conserved protein family is found in both plants and mammals, and this protein is 99% identical to the mouse, rat and sheep orthologs. The encoded protein interacts with IRS1 protein, suggesting a role in regulating insulin sensitivity. Several transcript variants that differ in the 5' UTR but that encode the same protein have been identified for this gene.
Applications:
WB, IHC, IF
Name of antibody:
YWHAZ (Phospho-Ser58)
Immunogen:
Synthetic peptide of human YWHAZ (Phospho-Ser58)
Full name:
tyrosine 3-monooxygenase/tryptophan 5-monooxygenase activation protein, zeta polypeptide (Phospho-Ser58)
Synonyms:
YWHAD; KCIP-1; 14-3-3-zeta
SwissProt:
P63104
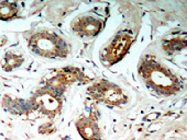
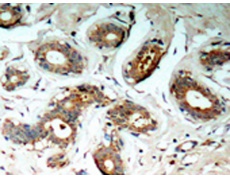
IHC positive control:
Human breast carcinoma
IHC Recommend dilution:
50-100
WB Predicted band size:
28 kDa
WB Positive control:
Hela cells treated with UV
WB Recommended dilution:
500-1000
IF Positive control:
Hela cells
IF Recommended dilution
100-200


購物車
幫助
021-54845833/15800441009
