中文名稱:兔抗CDADC1多克隆抗體
英文名稱: Anti-CDADC1 rabbit polyclonal antibody
別 名: cytidine and dCMP deaminase domain containing 1; NYD-SP15; bA103J18.1
相關類別: 一抗
宿 主: Rabbit
標 記 物: Unconjugate
克隆類型: rabbit polyclonal
技術規格
|
Background: |
NYD-SP15 (testis development protein NYD-SP15), also known as CDADC1 (cytidine and dCMP deaminase domain containing 1), is a widely expressed protein with predominant expression in the testis, liver, spleen, kidney, thymus and placenta. NYD-SP15 is 514 amino acids in length and belongs to the cytidine and deoxycytidylate deaminase family. It is developmentally regulated with higher expression in adult testis than fetal testis and is believed to participate in spermatogenesis and testicular development. This suggests that NYD-SP15 may be a determining factor in male infertility. Due to alternative splicing events, four transcript variants exist for NYD-SP15. |
|
Applications: |
ELISA, IHC |
|
Name of antibody: |
CDADC1 |
|
Immunogen: |
Full length fusion protein |
|
Full name: |
cytidine and dCMP deaminase domain containing 1 |
|
Synonyms: |
NYD-SP15; bA103J18.1 |
|
SwissProt: |
Q9BWV3 |
|
ELISA Recommended dilution: |
5000-10000 |
|
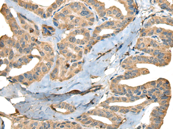
IHC positive control: |
Human thyroid cancer |
|
IHC Recommend dilution: |
30-150 |

購物車
幫助
021-54845833/15800441009
