中文名稱:兔抗CDR2多克隆抗體
英文名稱: Anti-CDR2 rabbit polyclonal antibody
別 名: Yo; CDR62
相關類別: 一抗
抗 原: CDR2
儲 存: 冷凍(-20℃)
宿 主: Rabbit
反應種屬: Human, Mouse
標 記 物: Unconjugate
克隆類型: rabbit polyclonal
技術規格
|
Background: |
CDR2 (cerebellar degeneration-related protein 2), also referred to as Yo or CDR62, is a 545 amino acid protein that is associated with the development of paraneoplastic cerebellar degeneration (PCD). PCD, an immune-mediated syndrome, belongs to a heterogeneous group of rare paraneoplastic neurologic disorders affecting the neurological system. PCD is characterized by subacute cerebellar ataxia and occurs mainly in patients with ovarian, uterine, fallopian tube or breast cancer. |
|
Applications: |
ELISA, IHC |
|
Name of antibody: |
CDR2 |
|
Immunogen: |
Fusion protein of human CDR2 |
|
Full name: |
cerebellar degeneration-related protein 2, 62kDa |
|
Synonyms: |
Yo; CDR62 |
|
SwissProt: |
Q01850 |
|
ELISA Recommended dilution: |
2000-5000 |
|
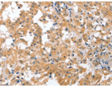
IHC positive control: |
Human thyroid cancer and human liver cancer |
|
IHC Recommend dilution: |
50-200 |

購物車
幫助
021-54845833/15800441009
