克隆類型: rabbit polyclonal
技術規格
|
Background: |
This gene encodes a member of a small subfamily of homeobox containing transcription factors. The encoded protein may regulate homeobox gene expression during anteroposterior patterning and hematopoiesis. |
|
Applications: |
ELISA, IHC |
|
Name of antibody: |
CDX4 |
|
Immunogen: |
Synthetic peptide of human CDX4 |
|
Full name: |
caudal type homeobox 4 |
|
SwissProt: |
O14627 |
|
ELISA Recommended dilution: |
5000-10000 |
|
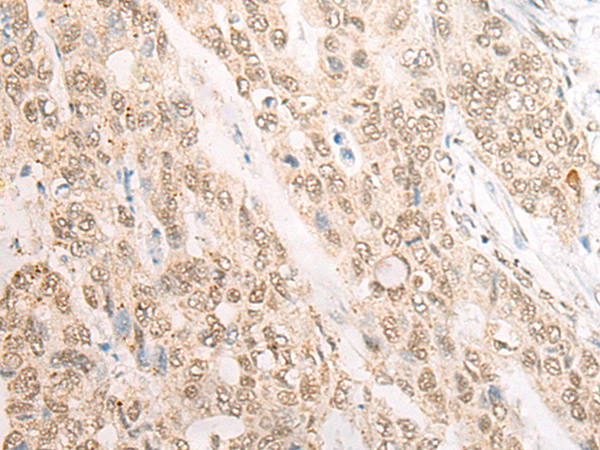
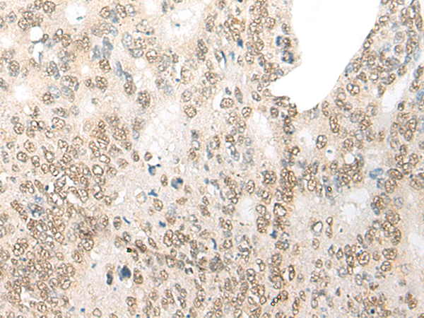
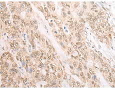
IHC positive control: |
Human gastric cancer; Human colorectal cancer |
|
IHC Recommend dilution: |
20-100 |


購物車
幫助
021-54845833/15800441009
