中文名稱:兔抗ZNF559多克隆抗體
英文名稱: Anti-ZNF559 rabbit polyclonal antibody
別 名: zinc finger protein 559; NBLA00121
相關類別: 一抗
儲 存: 冷凍(-20℃)
宿 主: Rabbit
抗 原: ZNF559
反應種屬: Human
標 記 物: Unconjugate
克隆類型: rabbit polyclonal
技術規格
|
Background: |
May be involved in transcriptional regulation. |
|
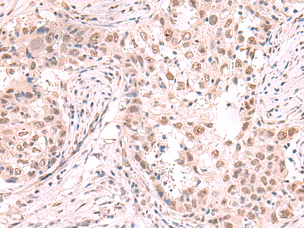
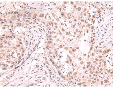
Applications: |
ELISA, IHC |
|
Name of antibody: |
ZNF559 |
|
Immunogen: |
Fusion protein of human ZNF559 |
|
Full name: |
zinc finger protein 559 |
|
Synonyms: |
NBLA00121 |
|
SwissProt: |
Q9BR84 |
|
ELISA Recommended dilution: |
5000-10000 |
|
IHC positive control: |
Human esophagus cancer |
|
IHC Recommend dilution: |
50-300 |
購物車
幫助
021-54845833/15800441009
