中文名稱:兔抗CFAP410多克隆抗體
英文名稱: Anti-CFAP410 rabbit polyclonal antibody
別 名: cilia and flagella associated protein 410; RDMS; S
相關類別: 一抗
儲 存: 冷凍(-20℃)
宿 主: Rabbit
抗 原: CFAP410
反應種屬: Human
標 記 物: Unconjugate
克隆類型: rabbit polyclonal
技術規格
|
Background: |
Four alternatively spliced transcript variants encoding four different isoforms have been found for this nuclear gene. All isoforms contain leucine-rich repeats. Three of these isoforms are mitochondrial proteins and one of them lacks the target peptide, so is not located in mitochondrion. This gene is down-regulated in Down syndrome (DS) brain, which may represent mitochondrial dysfunction in DS patients. [provided by RefSeq, Sep 2012] |
|
Applications: |
ELISA, IHC |
|
Name of antibody: |
CFAP410 |
|
Immunogen: |
Fusion protein of human CFAP410 |
|
Full name: |
cilia and flagella associated protein 410 |
|
Synonyms: |
RDMS; SMDAX; LRRC76; YF5/A2; C21orf2 |
|
SwissProt: |
O43822 |
|
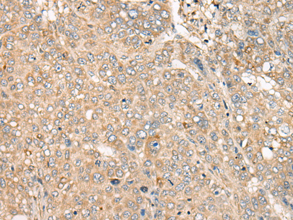
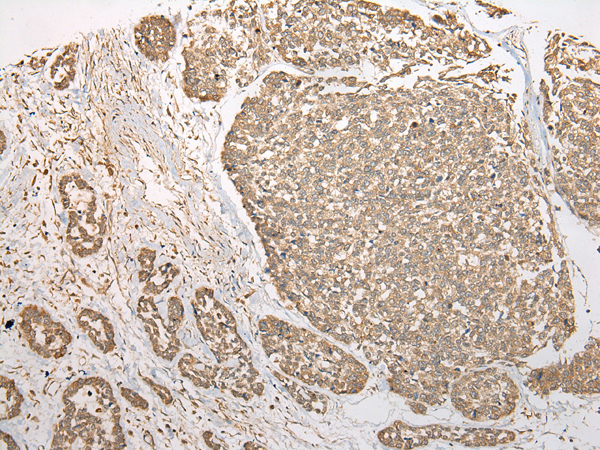
IHC positive control: |
Human liver cancer and Human esophagus cancer |
|
IHC Recommend dilution: |
25-100 |


購物車
幫助
021-54845833/15800441009
