中文名稱:兔抗CFL1 (Phospho-Ser3)多克隆抗體
英文名稱: Anti-CFL1 (Phospho-Ser3) rabbit polyclonal antibody
別 名: CFL; COF1; Cofilin
相關類別: 一抗
儲 存: 冷凍(-20℃) 避光
宿 主: Rabbit
抗 原: CFL1 (Phospho-Ser3)
反應種屬: Human, Mouse, Rat
標 記 物: Unconjugate
克隆類型: rabbit polyclonal
技術規格
|
Background: |
Controls reversibly actin polymerization and depolymerization in a pH-sensitive manner. It has the ability to bind G- and F-actin in a 1:1 ratio of cofilin to actin. It is the major component of intranuclear and cytoplasmic actin rods. |
|
Applications: |
WB, IHC, IF |
|
Name of antibody: |
CFL1 (Phospho-Ser3) |
|
Immunogen: |
Synthetic peptide of human CFL1 (Phospho-Ser3) |
|
Full name: |
cofilin 1 (non-muscle) (Phospho-Ser3) |
|
Synonyms: |
CFL; COF1; Cofilin |
|
SwissProt: |
P23528 |
|
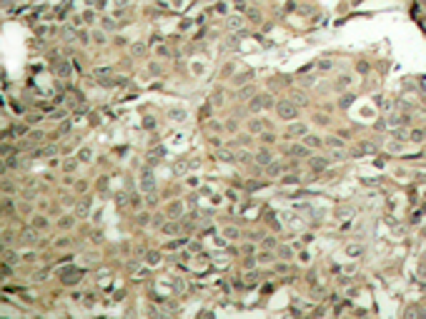
IHC positive control: |
Human breast carcinoma |
|
IHC Recommend dilution: |
50-100 |
|
WB Predicted band size: |
19 kDa |
|
WB Positive control: |
COLO205 cells |
|
WB Recommended dilution: |
500-1000 |
|
IF Positive control: |
Hela cells |
|
IF Recommended dilution |
100-200 |



購物車
幫助
021-54845833/15800441009
