中文名稱: 兔抗HDAC2多克隆抗體
英文名稱: Anti-HDAC2 rabbit polyclonal antibody
別 名: HD2, RPD3, YAF1
相關類別: 一抗
儲 存: 冷凍(-20℃)
宿 主: Rabbit
反應種屬: Human, Mouse
標 記 物: Unconjugate
克隆類型: rabbit polyclonal
技術規格
|
IHC Recommend dilution: |
25-100 |
|
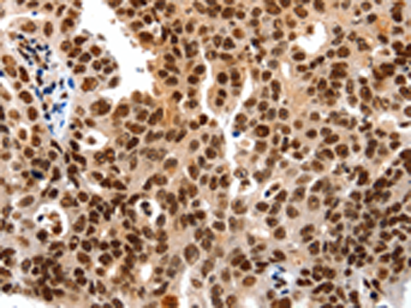
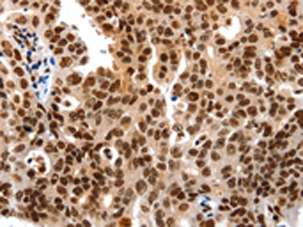
IHC positive control: |
Human ovarian cancer and Human colon cancer |
|
ELISA Recommended dilution: |
1000-5000 |
|
SwissProt: |
Q92769 |
|
Synonyms: |
HD2, RPD3, YAF1 |
|
Full name: |
histone deacetylase 2 |
|
Immunogen: |
Synthetic peptide of human HDAC2 |
|
Name of antibody: |
HDAC2 |
|
Applications: |
ELISA, IHC |
|
Background: |
This gene product belongs to the histone deacetylase family. Histone deacetylases act via the formation of large multiprotein complexes, and are responsible for the deacetylation of lysine residues at the N-terminal regions of core histones (H2A, H2B, H3 and H4). This protein forms transcriptional repressor complexes by associating with many different proteins, including YY1, a mammalian zinc-finger transcription factor. Thus, it plays an important role in transcriptional regulation, cell cycle progression and developmental events. Alternative splicing results in multiple transcript variants. |

購物車
幫助
021-54845833/15800441009
