中文名稱: 兔抗HHIPL2多克隆抗體
英文名稱: Anti-HHIPL2 rabbit polyclonal antibody
別 名: HHIP like 2; KIAA1822L
相關類別: 一抗
儲 存: 冷凍(-20℃)
宿 主: Rabbit
抗 原: HHIPL2
反應種屬: Human, Mouse
標 記 物: Unconjugate
克隆類型: rabbit polyclonal
技術規格
|
Background: |
The function of this protein remains unknown. |
|
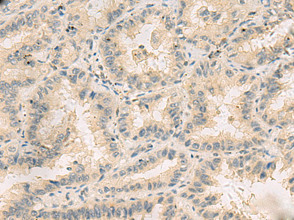
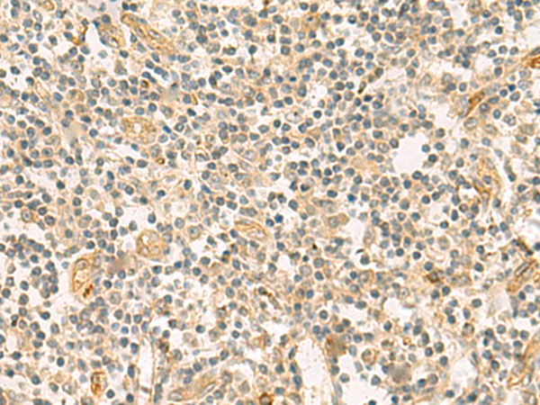
Applications: |
ELISA, IHC |
|
Name of antibody: |
HHIPL2 |
|
Immunogen: |
Fusion protein of human HHIPL2 |
|
Full name: |
HHIP like 2 |
|
Synonyms: |
KIAA1822L |
|
SwissProt: |
Q6UWX4 |
|
ELISA Recommended dilution: |
5000-10000 |
|
IHC positive control: |
Human tonsil and Human lung cancer |
|
IHC Recommend dilution: |
50-200 |




購物車
幫助
021-54845833/15800441009
