中文名稱: 兔抗HPN多克隆抗體
相關類別: 一抗
宿 主: Rabbit
標 記 物: Unconjugate
克隆類型: rabbit polyclonal
技術規格
|
Background: |
This gene encodes a type II transmembrane serine protease that may be involved in diverse cellular functions, including blood coagulation and the maintenance of cell morphology. Expression of the encoded protein is associated with the growth and progression of cancers, particularly prostate cancer. The protein is cleaved into a catalytic serine protease chain and a non-catalytic scavenger receptor cysteine-rich chain, which associate via a single disulfide bond. Alternative splicing results in multiple transcript variants. |
|
Applications: |
ELISA, IHC |
|
Name of antibody: |
HPN |
|
Immunogen: |
Fusion protein of human HPN |
|
Full name: |
hepsin |
|
Synonyms: |
TMPRSS1 |
|
SwissProt: |
P05981 |
|
ELISA Recommended dilution: |
5000-10000 |
|
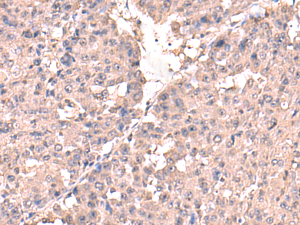
IHC positive control: |
Human liver cancer |
|
IHC Recommend dilution: |
50-300 |


購物車
幫助
021-54845833/15800441009
