技術規格
|
Background: |
Histamine is a ubiquitous messenger molecule released from mast cells, enterochromaffin-like cells, and neurons. Its various actions are mediated by histamine receptors H1, H2, H3 and H4. This gene was thought to be intronless until recently. The protein encoded by this gene is an integral membrane protein and belongs to the G protein-coupled receptor superfamily. It mediates the contraction of smooth muscles, the increase in capillary permeability due to contraction of terminal venules, the release of catecholamine from adrenal medulla, and neurotransmission in the central nervous system. |
|
Applications: |
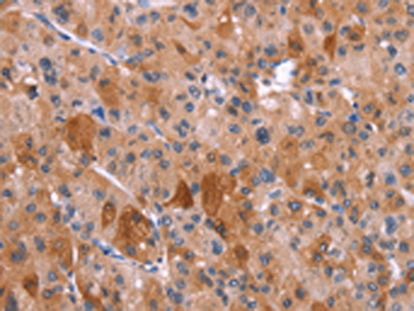
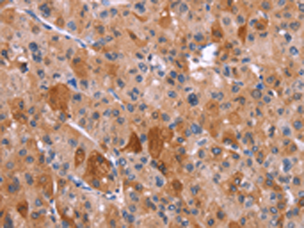
ELISA, IHC |
|
Name of antibody: |
HRH1 |
|
Immunogen: |
Synthetic peptide of human HRH1 |
|
Full name: |
histamine receptor H1 |
|
Synonyms: |
H1-R; hisH1 |
|
SwissProt: |
P35367 |
|
ELISA Recommended dilution: |
1000-2000 |
|
IHC positive control: |
Human liver cancer and Human thyroid cancer |
|
IHC Recommend dilution: |
25-100 |

購物車
幫助
021-54845833/15800441009
