技術規格
|
Background: |
This gene encodes the alpha subunit of inhibins A and B protein complexes. These complexes negatively regulate follicle stimulating hormone secretion from the pituitary gland. Inhibins have also been implicated in regulating numerous cellular processes including cell proliferation, apoptosis, immune response and hormone secretion. |
|
Applications: |
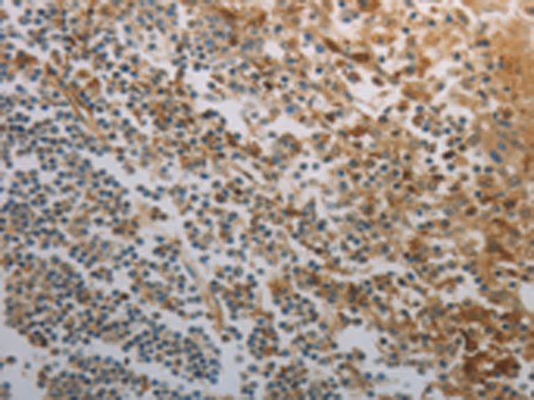
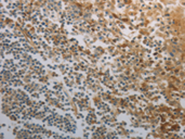
ELISA, IHC |
|
Name of antibody: |
INHA |
|
Immunogen: |
Fusion protein of human INHA |
|
Full name: |
inhibin, alpha |
|
SwissProt: |
P05111 |
|
ELISA Recommended dilution: |
1000-5000 |
|
IHC positive control: |
Human tonsil and Human renal cancer |
|
IHC Recommend dilution: |
150-500 |

購物車
幫助
021-54845833/15800441009
