中文名稱: 兔抗IRF7多克隆抗體
儲 存: 冷凍(-20℃)
技術規格
|
Background: |
IRF7 encodes interferon regulatory factor 7, a member of the interferon regulatory transcription factor (IRF) family. IRF7 has been shown to play a role in the transcriptional activation of virus-inducible cellular genes, including interferon beta chain genes. Inducible expression of IRF7 is largely restricted to lymphoid tissue. Multiple IRF7 transcript variants have been identified, although the functional consequences of these have not yet been established. |
|
Applications: |
ELISA, IHC |
|
Name of antibody: |
IRF7 |
|
Immunogen: |
Synthetic peptide of human IRF7 |
|
Full name: |
interferon regulatory factor 7 |
|
Synonyms: |
IMD39; IRF-7; IRF7A; IRF7B; IRF7C; IRF7H; IRF-7H |
|
SwissProt: |
Q92985 |
|
ELISA Recommended dilution: |
5000-10000 |
|
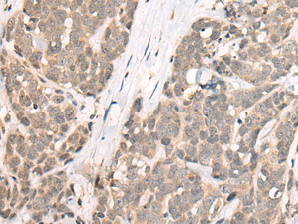
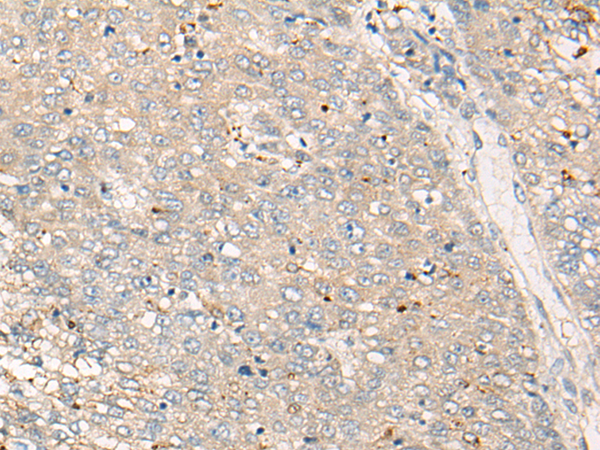
IHC positive control: |
Human liver cancer and Human thyroid cancer |
|
IHC Recommend dilution: |
25-100 |


購物車
幫助
021-54845833/15800441009
