|
Background: |
This gene is a member of the KCNQ potassium channel gene family that is differentially expressed in subregions of the brain and in skeletal muscle. The protein encoded by this gene yields currents that activate slowly with depolarization and can form heteromeric channels with the protein encoded by the KCNQ3 gene. Currents expressed from this protein have voltage dependences and inhibitor sensitivities in common with M-currents. They are also inhibited by M1 muscarinic receptor activation. Multiple transcript variants encoding different isoforms have been found for this gene. |
|
Applications: |
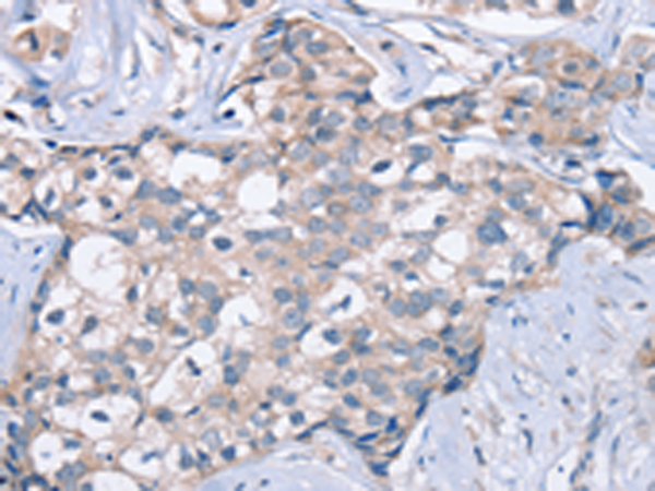
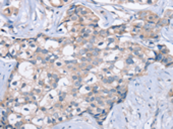
ELISA, IHC |
|
Name of antibody: |
KCNQ5 |
|
Immunogen: |
Fusion protein of human KCNQ5 |
|
Full name: |
potassium voltage-gated channel, KQT-like subfamily, member 5 |
|
Synonyms: |
Kv7.5 |
|
SwissProt: |
Q9NR82 |
|
ELISA Recommended dilution: |
1000-2000 |
|
IHC positive control: |
Human breast cancer and human brain |
|
IHC Recommend dilution: |
25-100 |

購物車
幫助
021-54845833/15800441009
