中文名稱: 兔抗MRPL24多克隆抗體
英文名稱: Anti-MRPL24 rabbit polyclonal antibody
別 名: L24mt; MRP-L18; MRP-L24
抗 原: MRPL24
儲 存: 冷凍(-20℃) 避光
宿 主: Rabbit
相關類別: 一抗
反應種屬: Human Mouse
標 記 物: Unconjugate
克隆類型: Unconjugate
技術規格
|
Background: |
Mammalian mitochondrial ribosomal proteins are encoded by nuclear genes and help in protein synthesis within the mitochondrion. Mitochondrial ribosomes (mitoribosomes) consist of a small 28S subunit and a large 39S subunit. They have an estimated 75% protein to rRNA composition compared to prokaryotic ribosomes, where this ratio is reversed. Another difference between mammalian mitoribosomes and prokaryotic ribosomes is that the latter contain a 5S rRNA. Among different species, the proteins comprising the mitoribosome differ greatly in sequence, and sometimes in biochemical properties, which prevents easy recognition by sequence homology. This gene encodes a 39S subunit protein which is more than twice the size of its E.coli counterpart (EcoL24). Sequence analysis identified two transcript variants that encode the same protein. |
|
Applications: |
WB, IHC |
|
Name of antibody: |
MRPL24 |
|
Immunogen: |
Synthesized peptide derived from internal of human MRPL24. |
|
Full name: |
mitochondrial ribosomal protein L24 |
|
Synonyms: |
L24mt; MRP-L18; MRP-L24 |
|
SwissProt: |
Q96A35 |
|
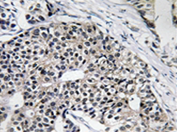
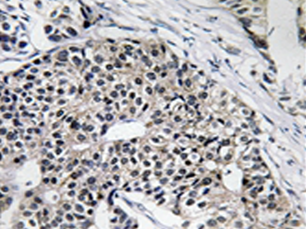
IHC positive control: |
Human breast carcinoma tissue |
|
IHC Recommend dilution: |
50-100 |
|
WB Predicted band size: |
25 kDa |
|
WB Positive control: |
Huvec cells lysate |
|
WB Recommended dilution: |
500-3000 |


購物車
幫助
021-54845833/15800441009
