|
Background: |
Plays a role in the regulation of the epidermis formation during early development. Required both as an inhibitor of basal cell proliferation and a promoter of differentiation of basal progenitor cell progeny (By similarity). |
|
Applications: |
ELISA, IHC |
|
Name of antibody: |
KDF1 |
|
Immunogen: |
Synthetic peptide of human KDF1 |
|
Full name: |
keratinocyte differentiation factor 1 |
|
Synonyms: |
C1orf172 |
|
SwissProt: |
Q8NAX2 |
|
ELISA Recommended dilution: |
5000-10000 |
|
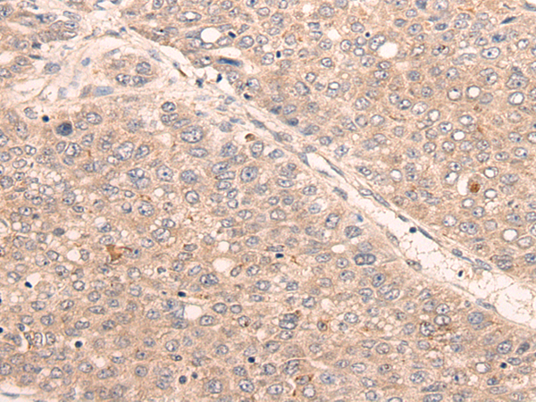
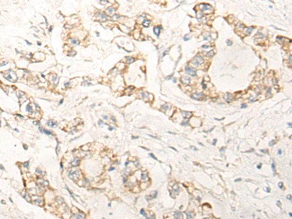
IHC positive control: |
Human liver cancer |
|
IHC Recommend dilution: |
25-100 |

購物車
幫助
021-54845833/15800441009
