中文名稱: 兔抗PLBD1多克隆抗體
英文名稱: Anti-PLBD1 rabbit polyclonal antibody
別 名: phospholipase B domain containing 1
相關類別: 一抗
抗 原: PLBD1
儲 存: 冷凍(-20℃)
宿 主: Rabbit
反應種屬: Human
標 記 物: Unconjugate
克隆類型: rabbit polyclonal
技術規格
|
Background: |
In view of the small size of the putative binding pocket, it has been proposed that it may act as an amidase or a peptidase (By similarity). Exhibits a weak phospholipase activity, acting on various phospholipids, including phosphatidylcholine, phosphatidylinositol, phosphatidylethanolamine and lysophospholipids. |
|
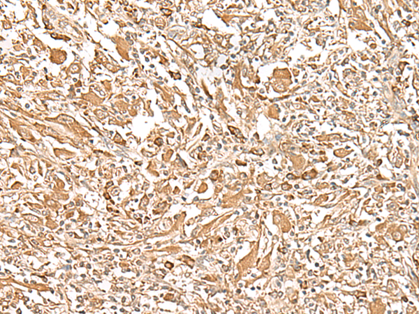
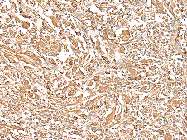
Applications: |
ELISA, IHC |
|
Name of antibody: |
PLBD1 |
|
Immunogen: |
Synthetic peptide of human PLBD1 |
|
Full name: |
phospholipase B domain containing 1 |
|
SwissProt: |
Q6P4A8 |
|
ELISA Recommended dilution: |
5000-10000 |
|
IHC positive control: |
Human liver cancer |
|
IHC Recommend dilution: |
30-150 |

購物車
幫助
021-54845833/15800441009
