|
Background: |
The protein encoded by this gene is a light chain of kinesin, a molecular motor responsible for moving vesicles and organelles along microtubules. Defects in this gene are a cause of spastic paraplegia, optic atrophy, and neuropathy (SPOAN) syndrome. |
|
Applications: |
ELISA, WB, IHC |
|
Name of antibody: |
KLC2 |
|
Immunogen: |
Fusion protein of human KLC2 |
|
Full name: |
kinesin light chain 2 |
|
SwissProt: |
Q9H0B6 |
|
ELISA Recommended dilution: |
5000-10000 |
|
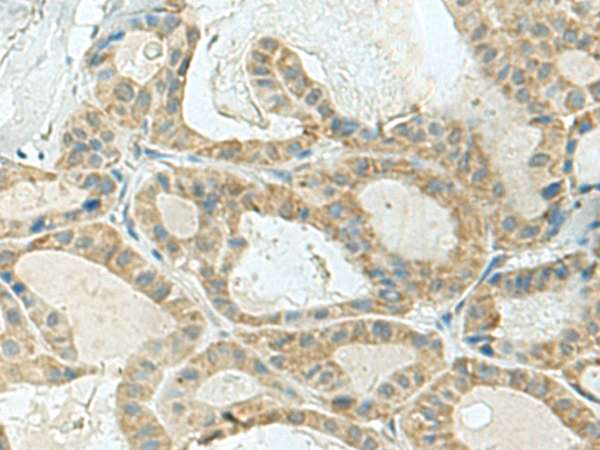
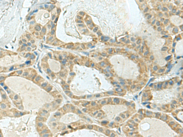
IHC positive control: |
Human thyroid cancer |
|
IHC Recommend dilution: |
150-300 |
|
WB Predicted band size: |
69 kDa |
|
WB Positive control: |
Human cerebrum tissue and Mouse brain tissue lysates |
|
WB Recommended dilution: |
500-2000 |

購物車
幫助
021-54845833/15800441009
