中文名稱: 兔抗MST1R多克隆抗體
英文名稱: Anti-MST1R rabbit polyclonal antibody
別 名: macrophage stimulating 1 receptor; RON; PTK8; CD136; CDw136
相關類別: 一抗
儲 存: 冷凍(-20℃)
宿 主: Rabbit
抗 原: MST1R
反應種屬: Human
標 記 物: Unconjugate
克隆類型: rabbit polyclonal
技術規格
|
Background: |
This gene encodes a cell surface receptor for macrophage-stimulating protein (MSP) with tyrosine kinase activity. The mature form of this protein is a heterodimer of disulfide-linked alpha and beta subunits, generated by proteolytic cleavage of a single-chain precursor. The beta subunit undergoes tyrosine phosphorylation upon stimulation by MSP. This protein is expressed on the ciliated epithelia of the mucociliary transport apparatus of the lung, and together with MSP, thought to be involved in host defense. Alternative splicing generates multiple transcript variants encoding different isoforms that may undergo similar proteolytic processing. |
|
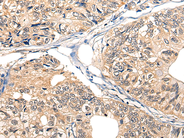
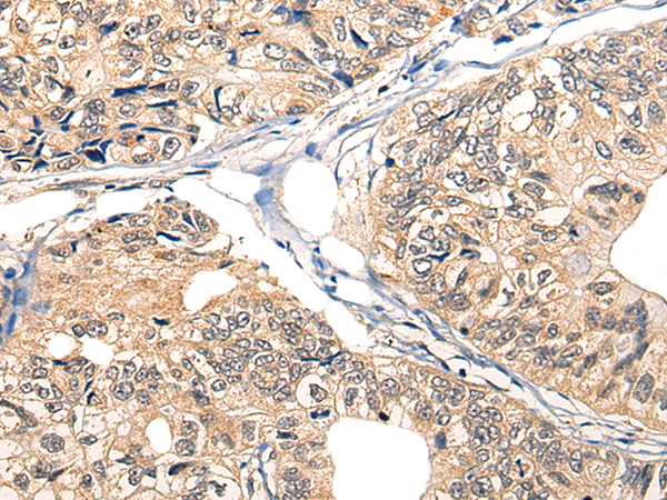
Applications: |
ELISA, IHC |
|
Name of antibody: |
MST1R |
|
Immunogen: |
Synthetic peptide of human MST1R |
|
Full name: |
macrophage stimulating 1 receptor |
|
Synonyms: |
RON; PTK8; CD136; CDw136 |
|
SwissProt: |
Q04912 |
|
ELISA Recommended dilution: |
5000-10000 |
|
IHC positive control: |
Human liver cancer |
|
IHC Recommend dilution: |
25-100 |

購物車
幫助
021-54845833/15800441009
