|
IHC Recommend dilution: |
25-100 |
|
IHC positive control: |
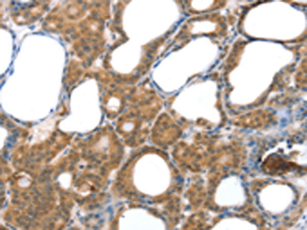
Human thyroid cancer |
|
ELISA Recommended dilution: |
2000-5000 |
|
SwissProt: |
Q16363 |
|
Synonyms: |
LAMA3; CMD1JJ; LAMA4*-1 |
|
Full name: |
laminin, alpha 4 |
|
Immunogen: |
Fusion protein of human LAMA4 |
|
Name of antibody: |
LAMA4 |
|
Applications: |
ELISA, IHC |
|
Background: |
Laminins, a family of extracellular matrix glycoproteins, are the major noncollagenous constituent of basement membranes. They have been implicated in a wide variety of biological processes including cell adhesion, differentiation, migration, signaling, neurite outgrowth and metastasis. Laminins are composed of 3 non identical chains: laminin alpha, beta and gamma (formerly A, B1, and B2, respectively) and they form a cruciform structure consisting of 3 short arms, each formed by a different chain, and a long arm composed of all 3 chains. |

購物車
幫助
021-54845833/15800441009
