中文名稱: 兔抗ABHD6多克隆抗體
英文名稱: Anti-ABHD6 rabbit polyclonal antibody
相關類別: 一抗
儲 存: 冷凍(-20℃)
抗 原: ABHD6
標 記 物: Unconjugate
技術規格
| 
					 Background:  | 
				
					 Lipase that preferentially hydrolysis medium-chain saturated monoacylglycerols including 2-arachidonoylglycerol (PubMed:22969151). Through 2-arachidonoylglycerol degradation may regulate endocannabinoid signaling pathways. May also have a lysophosphatidyl lipase activity with a preference for lysophosphatidylglycerol among other lysophospholipids (By similarity).  | 
			
| 
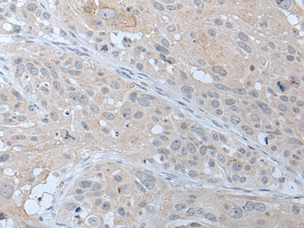
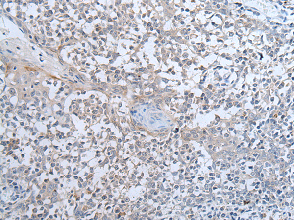
					 Applications:  | 
				
					 ELISA, IHC  | 
			
| 
					 Name of antibody:  | 
				
					 ABHD6  | 
			
| 
					 Immunogen:  | 
				
					 Synthetic peptide of human ABHD6  | 
			
| 
					 Full name:  | 
				
					 abhydrolase domain containing 6  | 
			
| 
					 SwissProt:  | 
				
					 Q9BV23  | 
			
| 
					 ELISA Recommended dilution:  | 
				
					 5000-10000  | 
			
| 
					 IHC positive control:  | 
				
					 Human esophagus cancer and human tonsil  | 
			
| 
					 IHC Recommend dilution:  | 
				
					 25-100  | 
			
	
 
	
 
	
 
	
 
	
 
購物車
幫助
021-54845833/15800441009
              