中文名稱: 兔抗LGALSL多克隆抗體
英文名稱: Anti-LGALSL rabbit polyclonal antibody
別 名: galectin like; GRP; HSPC159
相關類別: 一抗
儲 存: 冷凍(-20℃)
宿 主: Rabbit
抗 原: LGALSL
反應種屬: Human, Mouse
標 記 物: Unconjugate
克隆類型: rabbit polyclonal
技術規格
|
Background: |
Does not bind lactose, and may not bind carbohydrates. |
|
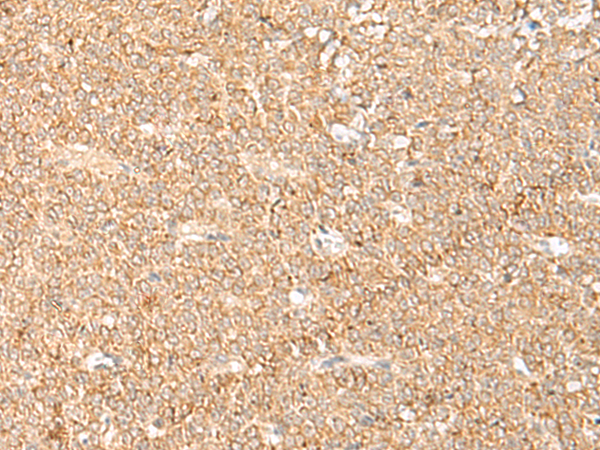
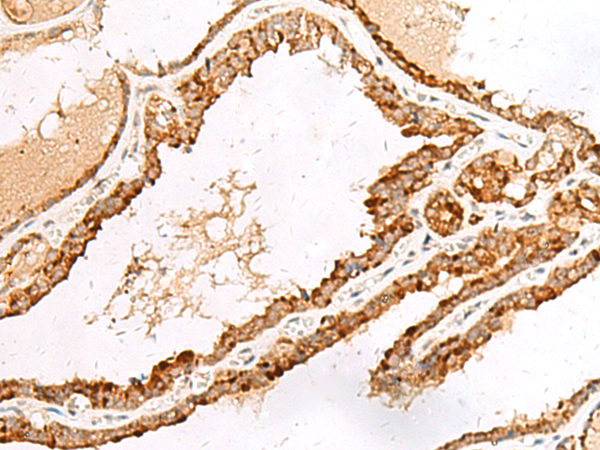
Applications: |
ELISA, IHC |
|
Name of antibody: |
LGALSL |
|
Immunogen: |
Synthetic peptide of human LGALSL |
|
Full name: |
galectin like |
|
Synonyms: |
GRP; HSPC159 |
|
SwissProt: |
Q3ZCW2 |
|
ELISA Recommended dilution: |
5000-10000 |
|
IHC positive control: |
Human ovarian cancer and Human thyroid cancer |
|
IHC Recommend dilution: |
50-300 |


購物車
幫助
021-54845833/15800441009
