中文名稱:兔抗CCNB1 (phospho-Ser147)多克隆抗體
英文名稱: Anti-CCNB1 (phospho-Ser147) rabbit polyclonal antibody
別 名: CCNB
相關類別: 一抗
儲 存: 冷凍(-20℃) 避光
宿 主: Rabbit
抗 原: CCNB1 (phospho-Ser147)
反應種屬: Human, Mouse, Rat
標 記 物: Unconjugate
克隆類型: rabbit polyclonal
|
Background: |
The protein encoded by Cyclin B1 is a regulatory protein involved in mitosis. The gene product complexes with p34(cdc2) to form the maturation-promoting factor (MPF). Two alternative transcripts have been found, a constitutively expressed transcript and a cell cycle-regulated transcript, that is expressed predominantly during G2/M phase. The different transcripts result from the use of alternate transcription initiation sites. |
|
Applications: |
WB, IHC, IF |
|
Name of antibody: |
CCNB1 (phospho-Ser147) |
|
Immunogen: |
Synthetic peptide of human CCNB1 (phospho-Ser147) |
|
Full name: |
cyclin B1 (phospho-Ser147) |
|
Synonyms: |
CCNB |
|
SwissProt: |
P14635 |
|
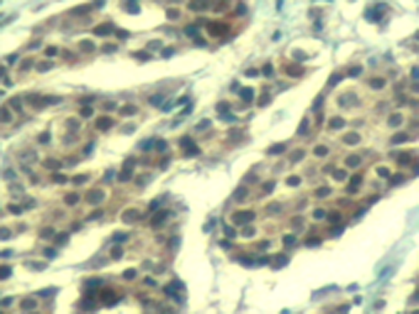
IHC positive control: |
Human breast carcinoma |
|
IHC Recommend dilution: |
50-100 |
|
WB Predicted band size: |
60 kDa |
|
WB Positive control: |
MDA cells treated with Anisomycin |
|
WB Recommended dilution: |
500-1000 |
|
IF Positive control: |
Hela cells |
|
IF Recommended dilution |
100-200 |
購物車
幫助
021-54845833/15800441009
