|
Background: |
This gene encodes a member of the LIM-domain family of zinc finger proteins. The encoded protein contains an N-terminal cysteine-rich domain and two C-terminal LIM domains. The presence of LIM domains suggests involvement in protein-protein interactions. The protein may act as a co-regulator of transcription along with other transcription factors. Alternate splicing results in multiple transcript variants of this gene. |
|
Applications: |
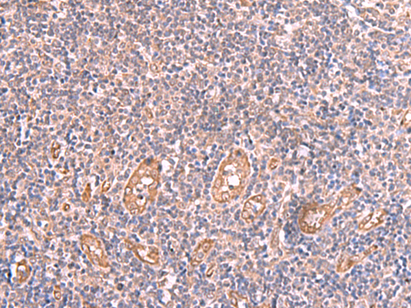
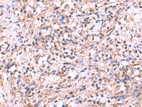
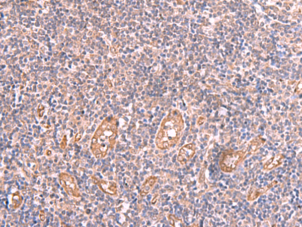
ELISA, IHC |
|
Name of antibody: |
LMCD1 |
|
Immunogen: |
Fusion protein of human LMCD1 |
|
Full name: |
LIM and cysteine rich domains 1 |
|
SwissProt: |
Q9NZU5 |
|
ELISA Recommended dilution: |
5000-10000 |
|
IHC positive control: |
Human thyroid cancer |
|
IHC Recommend dilution: |
50-300 |



購物車
幫助
021-54845833/15800441009
