|
Background: |
This gene encodes a zinc-metallopeptidase. The encoded protein may play a role in cell migration and invasion. Studies of a similar protein in Drosophila indicate a potential role in mitotic progression. Alternatively spliced transcript variants have been described. |
|
Applications: |
ELISA, IHC |
|
Name of antibody: |
LMLN |
|
Immunogen: |
Synthetic peptide of human LMLN |
|
Full name: |
leishmanolysin like peptidase |
|
Synonyms: |
INV; MSP; GP63; IX14; LMNL1 |
|
SwissProt: |
Q96KR4 |
|
ELISA Recommended dilution: |
5000-10000 |
|
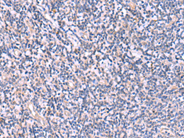
IHC positive control: |
Human cervical cancer and Human tonsil |
|
IHC Recommend dilution: |
25-100 |



購物車
幫助
021-54845833/15800441009
