技術規格
|
Background: |
Proper cohesion of sister chromatids is a prerequisite for the correct segregation of chromosomes during cell division. The cohesin multiprotein complex is required for sister chromatid cohesion. This complex is composed partly of two structural maintenance of chromosomes (SMC) proteins, SMC3 and either SMC1B or the protein encoded by this gene. Most of the cohesin complexes dissociate from the chromosomes before mitosis, although those complexes at the kinetochore remain. Therefore, the encoded protein is thought to be an important part of functional kinetochores. In addition, this protein interacts with BRCA1 and is phosphorylated by ATM, indicating a potential role for this protein in DNA repair. This gene, which belongs to the SMC gene family, is located in an area of the X-chromosome that escapes X inactivation. Mutations in this gene result in Cornelia de Lange syndrome. Alternative splicing results in multiple transcript variants encoding different isoforms. |
|
Applications: |
WB, IHC, FC |
|
Name of antibody: |
SMC1A(N-term) |
|
Immunogen: |
Fusion protein of human SMC1A |
|
Full name: |
structural maintenance of chromosomes 1A |
|
Synonyms: |
SMC1; SMCB; CDLS2; SB1.8; SMC1L1; DXS423E; SMC1alpha |
|
SwissProt: |
Q14683 |
|
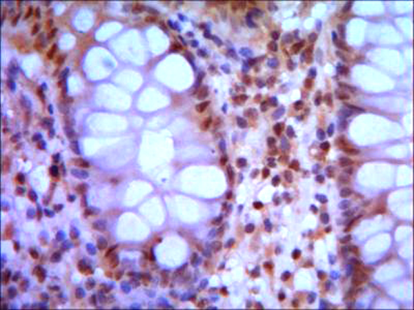
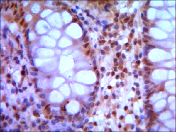
IHC positive control: |
Human colon |
|
IHC Recommend dilution: |
500-1000 |
|
WB Predicted band size: |
143 kDa |
|
WB Positive control: |
HelaNE, Jurkat and A431 cell lysates |
|
WB Recommended dilution: |
1000-5000 |
|
FC Recommend dilution: |
50-100 |



購物車
幫助
021-54845833/15800441009
