中文名稱: 兔抗MUC5AC多克隆抗體
英文名稱: Anti-MUC5AC rabbit polyclonal antibody
別 名: TBM, leB, MUC5
相關類別: 一抗
儲 存: 冷凍(-20℃)
宿 主: Rabbit
抗 原: MUC5AC
反應種屬: Human
標 記 物: Unconjugate
克隆類型: rabbit polyclonal
技術規格
|
Background: |
Mucin-5AC is a protein that in humans is encoded by the MUC5AC gene. This gene has been linked to mucus hypersecretion in the pulmonary tracts and associated to chronic obstructive pulmonary disease (COPD). Gel-forming glycoprotein of gastric and respiratoy tract epithelia that protects the mucosa from infection and chemical damage by binding to inhaled microrganisms and particles that are subsequently removed by the mucocilary system. Highly expressed in surface mucosal cells of respiratory tract and stomach epithelia. Overexpressed in a number of carcinomas. Also expressed in Barrett's esophagus epithelium and in the proximal duodenum. |
|
Applications: |
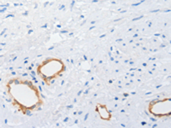
ELISA, IHC |
|
Name of antibody: |
MUC5AC |
|
Immunogen: |
Synthetic peptide of human MUC5AC |
|
Full name: |
mucin 5AC, oligomeric mucus/gel-forming |
|
Synonyms: |
TBM, leB, MUC5 |
|
SwissProt: |
P98088 |
|
ELISA Recommended dilution: |
2000-5000 |
|
IHC positive control: |
Human cervical cancer |
|
IHC Recommend dilution: |
50-200 |

購物車
幫助
021-54845833/15800441009
