|
Background: |
This gene encodes a member of the CHD family of proteins which are characterized by the presence of chromo (chromatin organization modifier) domains and SNF2-related helicase/ATPase domains. This protein is one of the components of a histone deacetylase complex referred to as the Mi-2/NuRD complex which participates in the remodeling of chromatin by deacetylating histones. Chromatin remodeling is essential for many processes including transcription. Autoantibodies against this protein are found in a subset of patients with dermatomyositis. Three alternatively spliced transcripts encoding different isoforms have been described. |
|
Applications: |
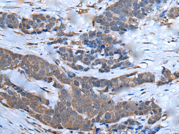
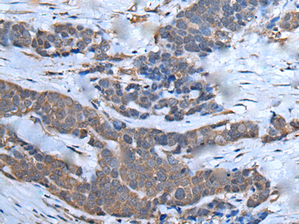
ELISA, IHC |
|
Name of antibody: |
CHD3 |
|
Immunogen: |
Synthetic peptide of human CHD3 |
|
Full name: |
chromodomain helicase DNA binding protein 3 |
|
Synonyms: |
ZFH; Mi-2a; Mi2-ALPHA |
|
SwissProt: |
Q12873 |
|
ELISA Recommended dilution: |
5000-10000 |
|
IHC positive control: |
Human thyroid cancer |
|
IHC Recommend dilution: |
20-100 |
購物車
幫助
021-54845833/15800441009
