中文名稱 : 兔抗PSPC1多克隆抗體
英文名稱 : Anti-PSPC1 rabbit polyclonal antibody
別 名 : paraspeckle component 1; PSP1
抗 原 : PSPC1
儲 存 : 冷凍(-20℃)
宿 主 : Rabbit
相關類別 : 一抗
反應種屬 : Human, Mouse, Rat
標 記 物 : Unconjugate
克隆類型 : rabbit polyclonal
技術規格
|
Background: |
This gene encodes a nucleolar protein that localizes to punctate subnuclear structures that occur close to splicing speckles, known as paraspeckles. These paraspeckles are composed of RNA-protein structures that include a non-coding RNA, NEAT1/Men epsilon/beta, and the Drosophila Behavior Human Splicing family of proteins, which include the product of this gene and the P54NRB/NONO and PSF/SFPQ proteins. Paraspeckles may function in the control of gene expression via an RNA nuclear retention mechanism. The protein encoded by this gene is found in paraspeckles in transcriptionally active cells, but it localizes to unique cap structures at the nucleolar periphery when RNA polymerase II transcription is inhibited, or during telophase. Alternative splicing of this gene results in multiple transcript variants. A related pseudogene, which is also located on chromosome 13, has been identified. |
|
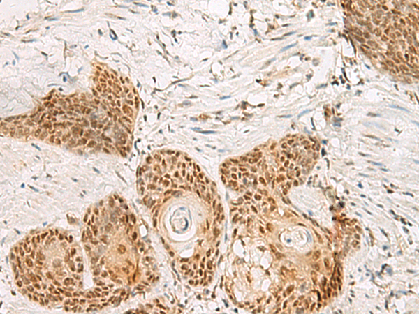
Applications: |
ELISA, IHC |
|
Name of antibody: |
PSPC1 |
|
Immunogen: |
Fusion protein of human PSPC1 |
|
Full name: |
paraspeckle component 1 |
|
Synonyms: |
PSP1 |
|
SwissProt: |
Q8WXF1 |
|
ELISA Recommended dilution: |
5000-10000 |
|
IHC positive control: |
Human thyroid cancer |
|
IHC Recommend dilution: |
30-150 |


購物車
幫助
021-54845833/15800441009
