中文名稱:兔抗CHRAC1多克隆抗體
|
Background: |
CHRAC1 is a histone-fold protein that interacts with other histone-fold proteins to bind DNA in a sequence-independent manner. These histone-fold protein dimers combine within larger enzymatic complexes for DNA transcription, replication, and packaging. |
|
Applications: |
ELISA, IHC |
|
Name of antibody: |
CHRAC1 |
|
Immunogen: |
Fusion protein of human CHRAC1 |
|
Full name: |
chromatin accessibility complex 1 |
|
Synonyms: |
YCL1; CHARC1; CHARC15; CHRAC-1; CHRAC15; CHRAC-15 |
|
SwissProt: |
Q9NRG0 |
|
ELISA Recommended dilution: |
5000-10000 |
|
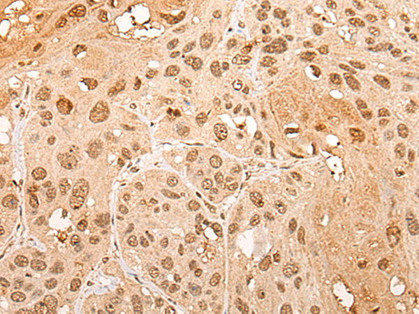
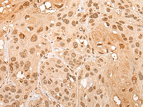
IHC positive control: |
Human esophagus cancer |
|
IHC Recommend dilution: |
25-100 |
購物車
幫助
021-54845833/15800441009
