中文名稱:兔抗CEP152多克隆抗體
英文名稱: Anti-CEP152 rabbit polyclonal antibody
別 名: MCPH4; MCPH9; SCKL5
抗 原: CEP152
儲 存: 冷凍(-20℃) 避光
宿 主: Rabbit
反應種屬: Human Mouse
標 記 物: Unconjugate
克隆類型: Unconjugate
技術規格
|
Background: |
This gene encodes a protein that is thought to be involved with centrosome function. Mutations in this gene have been associated with primary microcephaly (MCPH4). Alternative splicing results in multiple transcript variants. |
|
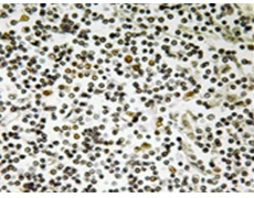
Applications: |
IHC |
|
Name of antibody: |
CEP152 |
|
Immunogen: |
Synthesized peptide derived from internal of human CEP152. |
|
Full name: |
centrosomal protein 152kDa |
|
Synonyms: |
MCPH4; MCPH9; SCKL5 |
|
SwissProt: |
O94986 |
|
IHC positive control: |
Human lymph noe tissue |
|
IHC Recommend dilution: |
50-100 |

購物車
幫助
021-54845833/15800441009
